Book Appointment Now
Fixion Tibial Nails


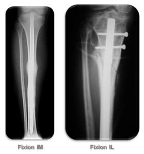
The Fixion Expandable Tibia Nailing System includes three types of nails:
- Fixion IM Tibial Nail is indicated for diaphyseal fractures which are 5cm below the surgical neck, and5cm proximal to the distal end of the medullary canal. These nails do not have any interlocking screws.
- Fixion IL Tibial Nail is indicated for Proximal or Distal fractures. This nail is being locked proximally and is being expanded at its shaft.
- Fixion Dual IL Tibial Nail is indicated for distal fractures
- The Tibial nails have a standard 8.5° bending.
- The Fixion Tibial nails are FDA cleared and CE marked.
